Naturheilpraxis
Myofasziale Schmerztherapie
Frequenzspezifischer Mikrostrom
Die Myofasziale Schmerztherapie wird immer dann durch sanfte Chiropraktik ergänzt, wenn bei der Diagnostik des Beckens und der Wirbelsäule eine Fehlstellung festgestellt werden kann.
Fehlstellungen der Wirbel führen in der Regel über die Reizung des Nervensystems zu schmerzhaften Muskel-
verspannungen mit Ausbildung von Triggerpunkten. Die Wirbelfehlstellung in Kombination mit stark erhöhter Muskelanspannung
führt häufig zur Überlastung von Bandscheiben - und langfristig zum Bandscheibenvorfall.
Mit Hilfe von sanften, schonenden Griffen und Bewegungen werden die festgestellten Fehlstellungen
in Becken und
Wirbelsäule korrigiert, wodurch überlastete Bandscheiben wieder entlastet werden. Ebenso werden blockierte
Gelenkverbindungen befreit, was über reflektorische Wirkungen die lokal stark erhöhte Muskelanspannung wieder normalisiert.
Auf diese Weise können schmerzhafte Muskelverspannungen besser abklingen.
Die Behandlung der Muskeltriggerpunkte ist eine bewährte Vorbereitung für die chiropraktische Behandlung. Daher kombiniere ich die sanfte Chiropraktik stets mit der Myofaszialen Triggerpunkt-Therapie.
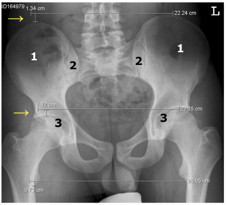
Ausgangspunkt vieler Beschwerden im Bewegungsapparat ist das Becken. Es besteht aus den beiden Hüftbeinen (siehe "1" auf dem Röntgenbild unten), die über das Iliosakralgelenk (ISG, siehe "2") mit dem Kreuzbein verbunden sind. Bei der Beckenverwringung sind die beiden Hüftbeine gegeneinander verdreht. Dies führt zu einer veränderten Lage der beiden Hüftgelenkspfannen (siehe "3"), weshalb ein Bein kürzer als das andere erscheint (siehe "→"). Man spricht von einer funktionellen Beinlängendifferenz. Das ist ein scheinbarer Unterschied der Beinlängen infolge einer Fehlstellung des Beckens und der Wirbelsäule - im Gegensatz zu einer anatomischen Beinlängendifferenz, bei der die Beine tatsächlich verschieden lang sind.
Die Beckenverwringung führt aber nicht nur zu scheinbar verschieden langen Beinen, sondern auch zur Fehlstellung des Kreuzbeins und der Wirbelsäule, was sich bis hinauf zu den Halswirbeln negativ auswirken kann.
Die Beckenverwringung entsteht meistens durch Stürze,
die schon weit zurückliegen können,
zum Beispiel aus der Kindheit.
© 2024 Jörg H. Schmidt